Embolisation de Varices pelviennes
La pathologie veineuse
L'insuffisance veineuse pelvienne reste une pathologie peu connue et sous-évaluée en France.
Elle concerne habituellement les femmes ayant déjà eu un ou plusieurs enfants, le plus souvent en période pré-ménopausique. Elle peut parfois atteindre les femmes plus jeunes.
Il s'agit d'une problématique veineuse liée à un mauvais fonctionnement des veines gonadiques (droites et gauches), dont les parois et l'anatomie ont été modifiées pendant et après une grossesse.
Leur dilatation successive est à l'origine d'une incontinence, c'est-à-dire d'un mauvais fonctionnement à l'origine d'une stagnation du sang au niveau du pelvis, à l'origine d'un développement de varices pelviennes.
Au maximum, lorsque les varices sont très développées, il peut y avoir une fuite de sang veineux vers les veines des jambes, à l'origine de varices et de douleurs des membres inférieurs.
Le syndrome de congestion pelvienne
Il s'agit de douleurs pelviennes chroniques (présentes depuis plus de 6 mois) à type de lourdeur et pesanteur sourde, non rythmées par les règles :
le plus souvent latéralisées à gauche
aggravées par la position debout prolongée, maximales en fin de journée
soulagées par la position allongée
aggravées dans les quelques jours avant les règles
peuvent être associées à des dyspareunies (douleurs pendant les rapports sexuels)
Ce syndrome est souvent associée à des varices au niveau du périnée, de la vulve ou des membres inférieures (face interne de cuisse).
A l’aide d’un abord vasculaire veineux au niveau de la jambe droite, un cathéter est envoyé dans le réseau veineux du pelvis et des veines gonadiques.
Un bilan diagnostique (phlébographie) est réalisé, qui permet de trouver l'origine de la fuite veineuse. Le plus souvent le problème vient de la veine gonadique gauche. Cette veine est donc bouchée (=embolisation) en utilisant des spires métalliques appelées "coils".
L'obstruction de la veine gonadique va permettre une diminution de la pression et du flux de sang vers le pelvis, et permettre un soulagement des symptômes.
Si nécessaire, une prise en charge dans le même temps sera réalisée au niveau des "points de fuite pelviens" préalablement identifiés par votre angiologue. Ces anomalies sont à rechercher, car elle sont à l'origine de la fuite du sang vers les jambes, et donc des varices.
Cette procédure se déroule sous anesthésie locale, sur une journée d'hospitalisation (ambulatoire) avec un retour à domicile le jour même au cours de l'après-midi.
Principe scientifique


La consultation est le moment de faire le point individuellement avec chaque patiente sur son cas spécifique.
Les symptômes peuvent être variables d'une patiente à l'autre et leur lien avec la pathologie veineuse n'est pas toujours simple. Il faut faire le tri avec les éventuelles autres pathologies pelviennes (fibrome, endométriose, adénomyose...).
Nos spécialistes sont là pour faire le point avec vous, revoir les imageries déjà réalisées (IRM/échographie/doppler), et compléter le bilan si nécessaire.
La consultation pré-opératoire
La procédure se déroule en salle de radiologie interventionnelle, dans un bloc opératoire.
La patiente est allongé sur la table d’opération, avec la machine permettant de faire les images au-dessus de lui (cf photo).
Après anesthésie locale du point de ponction au niveau de la jambe, un cathéter est inséré dans la veine. La navigation dans le corps est indolore.
Déroulement de la procédure


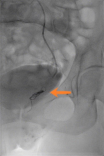
Exemple d'images d'embolisation réalisée dans le service.
Première image, à gauche : phase initiale de diagnostique retrouvant une veine gonadique gauche (flèche bleue) dilatée avec reflux du produit jusque dans les varices pelviennes autour de l'utérus (flèche rouge).
Deuxième image, à droite : phase de traitement avec coils d'embolisation (flèche orange) en place dans la veine gonadique gauche, permettant son occlusion.
La première partie du geste consiste en un bilan d’imagerie diagnostique permettant de cibler et repérer les veines pathologiques : veine gonadique droite, gauche ou "points de fuite" pelviens.
Le nombre de vaisseaux ensuite embolisé est donc variable selon les patientes, en fonction du nombre d'anomalies retrouvées. Il peut aller de une (le plus souvent) à 4 ou 5 veines embolisées. Il faut parfois plusieurs séances.
L'embolisation est réalisée à l'aide de coils. Pour une meilleur efficacité, un agent d'embolisation dit "liquide" peut être associé (aetoxisclérol ou colle biologique).
Enfin, le matériel et retiré et un pansement est appliqué au point de ponction pour éviter tout saignement.
La durée totale de la procédure est entre 1h et 1h30.




Inflammation réactionnelle pelvienne locale pendant 3 à 5 jours, à l'origine d'une irritation locale avec des douleurs pelviennes souvent comparables aux douleurs habituels.
Parfois, la douleurs est plus intense, en lien avec une thrombose du réseau variqueux. Une ordonnance de médicaments vous sera remis pour limiter ces douleurs si jamais elles se présentent.
Hématome du point de ponction veineux, résolutif en quelques jours.
Il est donc important respecter un repos relatif avec absence de sport et port de charges lourdes pendant 5 jours.
Effets indésirables potentiels
Il s'agit d'une hospitalisation en ambulatoire : la patiente rentre à l’hôpital de Valenciennes le matin de la procédure, et le retour à domicile se fait dans l'après-midi le jour même.
Des ordonnances sont remises avec une prescriptions d’antalgiques et d'anti-inflammatoires pendant quelques jours pour limiter la réaction locale après l’embolisation, qui peut durer jusqu'à 5 jours.
La patiente est revue en consultation 3 mois après la procédure. La consultation de suivi peut se faire par téléphone pour les patients venant de loin : Lille ou sa métropole, Boulogne-sur-Mer, Dunkerque...
Parfois, plusieurs séances d'embolisation sont nécessaires.
Encadrement du geste et hospitalisation
Contacts :
e-mail : sec-imagerieinterven@ch-valenciennes.fr
Pour en savoir plus : https://www.ch-valenciennes.fr/
tel : 03 27 14 04 31