
Embolisation de tendinopathies
La pathologie : la tendinite
La tendinite (ou tendinopathie) est une atteinte inflammatoire d'un ligament, le plus souvent suite à une sollicitation excessive ou répétée.
Cette tendinopathie est à l'origine de douleurs, qui peuvent persister malgré les traitements classiques (repos / anti-inflammatoire et kinésithérapie). Parfois, une infiltration complémentaire peut être réalisée.
En cas de résistance à ces traitements, l'inflammation peut persister et s'auto-entretenir par majoration de l'apport de sang localement. Les douleurs peuvent devenir invalidantes. On peut alors proposer un traitement par embolisation des artères ligamentaires, pour diminuer l'afflux sanguin et donc l'inflammation.
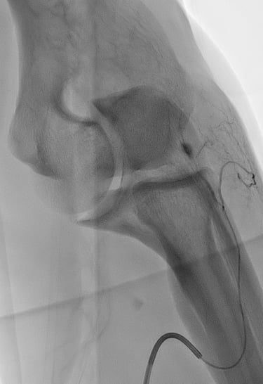
A l’aide d’un abord vasculaire artériel au niveau du poignet ou de la jambe , un cathéter est envoyé dans les vaisseaux de la zone concernée (épaule ou coude le plus souvent).
Une artériographie par injection de produit de contraste iodé est réalisée. Elle permet la cartographie des artères pour dépister les zones d'hypervascularisation, qui sont le témoin de l'inflammation locale. Ces zones sont le plus souvent concordantes avec les douleurs rapportées par le patient.
L'objectif de la procédure est de boucher (=emboliser) ces artères anormalement développées qui alimentent les zones inflammatoires du ligament, pour diminuer l'apport vasculaire et arrêter le cycle de l'inflammation.
L'embolisation permet une amélioration de la douleur ainsi qu'une amélioration sur le plan fonctionnel et sur la motricité.
Principe scientifique




Il s'agit d'une hospitalisation en ambulatoire au Centre Hospitalier de Valenciennes : le patient rentre à l’hôpital matin de la procédure, et le retour à domicile se fait dans l'après-midi le jour même.
Le patient est revu en consultation 1 mois après la procédure.
Le patient est revu en consultation 2 mois après la procédure. La consultation de suivi peut se faire par téléphone pour les patients venant de loin : Lille ou sa métropole, Boulogne-sur-Mer, Dunkerque...
Encadrement du geste et hospitalisation
Contacts :
e-mail : sec-imagerieinterven@ch-valenciennes.fr
Pour en savoir plus : https://www.ch-valenciennes.fr/
tel : 03 27 14 04 31